Mallory Hackett
The most common arrhythmias detected were premature atrial contractions, premature ventricular contractions, atrial tachycardia and nonsustained ventricular tachycardia.
        
        
          Providers can use SimpleSense to remotely triage cardio, pulmonary and upper vascular patients.
 
        
        
          The calculator shows the estimated number of COVID-19 infections during the testing period, how much testing will cost per person and the number of potential false positives.
        
        
          The Apple Fitness+ platform offers 11 different workout styles from high-intensity interval training to yoga.
        
        
          The company’s stock took a nosedive yesterday after it filed an SEC document.
 
        
        
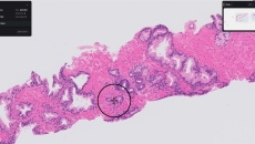
          Paige Prostate analyzes digitized biopsy slides and identifies areas that could be cancerous for the pathologist to review further.
        
        
          CareFirst pitches CloseKnit as a way to close healthcare gaps, especially those for primary care.
        
        
          The company created a cloud-based platform that harnesses the power of brain data.
        
        
          Urinary tract infections are the most common form of outpatient infections in the U.S., with more than half of adult women experiencing at least one in their lifetime. 
 
        
        
          Elvie has partnered with a number of durable medical equipment providers to ensure customers get their breast pumps covered by insurance. 
 
        
        
           
 
 
 
 
 
 
 
 
